Can Ovarian Cancer Be Mistaken For Pcos : Clinical Impact Of Insulin Resistance In Women With Polycystic Ovary Syndrome Intechopen : Less commonly, cysts may rupture or cause ovarian torsion, a condition in which the ovary is abnormally twisted due to the cyst.
Dapatkan link
Facebook
X
Pinterest
Email
Aplikasi Lainnya
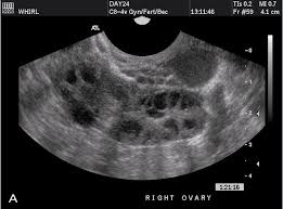
Can Ovarian Cancer Be Mistaken For Pcos : Clinical Impact Of Insulin Resistance In Women With Polycystic Ovary Syndrome Intechopen : Less commonly, cysts may rupture or cause ovarian torsion, a condition in which the ovary is abnormally twisted due to the cyst.. A major factor for this increased malignancy risk is prolonged exposure of the endometrium to unopposed estrogen that results from anovulation. If low levels of healthy bacteria can cause ovarian cancer, then it could rightly be inferred that bad vaginal hygiene habits may play a part in heightening the risk of ovarian cancer. This is a common phenomenon in late postmenopausal women, which can trigger swelling of the ovaries along with the formation of ovarian cysts. In fact, half of women with pcos get pregnant without any medical intervention. Here we will dispel five myths about pcos.
Pylori in women with polycystic ovarian syndrome was nearly double the rate for other women. Ovarian cysts are common among women of all ages. Around 90% of ovarian cancers occur in women. The most significant difference between the two conditions is that pcos results in a substantial hormonal imbalance, which is not generally the case with ovarian cysts. Why women with this disease may have a higher exposure or higher infection rate is not known.
Ovarian Cysts In Girls Children S Hospital Colorado from www.childrenscolorado.org The condition is common among women of reproductive age and can include symptoms such as an irregular menstrual cycle, acne, thinning hair and weight gain. The three women featured below were all diagnosed in their teens and 20s and had the characteristic. There's no clear link between ovarian cancer and pcos. The danish cohort study found a link between pcos and endometrial cancer; However, most early ovarian tumors. Ovarian cancer starts in the cells lining the ovaries. The reason for this is that the cysts in pcos are a cluster of simple cysts that can give the appearance on imaging as one (larger) cyst with septations. While some studies have proved that the risk of ovarian cancer actually becomes lower due to pcos.
Ovarian cancer starts in the cells lining the ovaries.
Stay informed, educate patients, be alert for risk factors, encourage screening, and treat them with compassionate care. In rare cases, ovarian cysts can be cancerous. Pylori in women with polycystic ovarian syndrome was nearly double the rate for other women. Studies have not found a link between pcos and breast cancer formally. Polycystic ovary syndrome (pcos) is a perfect example. However, this risk could be because of possible cysts on the ovaries that may occur in some women with pcos. Researches have shown that women with pcos have a high risk of ovarian cancer; A pelvic exam, when your ovaries and uterus are checked for size, shape and consistency, can sometimes detect some reproductive system cancers at an early stage. Ovarian cysts are common among women of all ages. A major factor for this increased malignancy risk is prolonged exposure of the endometrium to unopposed estrogen that results from anovulation. Additionally, some women produce many small cysts on their ovaries due to a condition called polycystic ovary syndrome (pcos). Ovarian cysts with all of the features of ovarian cancer warrant the recommendation of removal of the cyst to definitively determine if it is benign or malignant. In fact, half of women with pcos get pregnant without any medical intervention.
In rare cases, ovarian cysts can be cancerous. Ovarian cancer starts in the cells lining the ovaries. The danish cohort study found a link between pcos and endometrial cancer; Less commonly, cysts may rupture or cause ovarian torsion, a condition in which the ovary is abnormally twisted due to the cyst. Studies have not found a link between pcos and breast cancer formally.
Ovarian Cancer Healthywomen from www.healthywomen.org 40% of the pcos women showed evidence of exposure to h. Women with pcos have a hormonal imbalance and metabolism problems that may affect their health. Less commonly, cysts may rupture or cause ovarian torsion, a condition in which the ovary is abnormally twisted due to the cyst. Here we will dispel five myths about pcos. Ovarian cancer and cysts have similar symptoms and signs, for example, pain during intercourse, pelvic pain, and urinary problems. Of interest, this risk is greater in those who are not obese and is greatest in women who have not been on oral contraceptives. In other words, the rate of exposure to h. It is why further medical testing is performed, so.
It is commonly thought that ovarian cancer has few if any symptoms prior to reaching and advanced stage.
Stay informed, educate patients, be alert for risk factors, encourage screening, and treat them with compassionate care. The reason for this is that the cysts in pcos are a cluster of simple cysts that can give the appearance on imaging as one (larger) cyst with septations. Only 22% for other women. Women with pcos have a hormonal imbalance and metabolism problems that may affect their health. The condition is common among women of reproductive age and can include symptoms such as an irregular menstrual cycle, acne, thinning hair and weight gain. Why women with this disease may have a higher exposure or higher infection rate is not known. Ovarian cysts and pcos are related conditions with many of the same symptoms, meaning that women often confuse the two, or wrongly believe that they have pcos when they do not. In fact, half of women with pcos get pregnant without any medical intervention. Many symptoms of ovarian cancer are hard to recognise as they are similar to conditions such as irritable bowel syndrome (ibs). The danish cohort study found a link between pcos and endometrial cancer; Pylori in women with polycystic ovarian syndrome was nearly double the rate for other women. Here we will dispel five myths about pcos. Polycystic ovaries can be misinterpreted as complex cysts.
There's no clear link between ovarian cancer and pcos. It's even rarer in someone amy's age. However, most early ovarian tumors. Pylori in women with polycystic ovarian syndrome was nearly double the rate for other women. In rare cases, ovarian cysts can be cancerous.
Polycystic Ovary Syndrome Office On Women S Health from owh-wh-d9-dev.s3.amazonaws.com In fact, half of women with pcos get pregnant without any medical intervention. Multiple cysts in the ovaries. If there is a follicle greater than 10 mm in diameter, the scan. Alan copperman, medical director at progyny , tells bustle. Stay informed, educate patients, be alert for risk factors, encourage screening, and treat them with compassionate care. Pcos can be difficult to diagnose because some of its symptoms have a variety of potential causes. Ovarian cysts are common among women of all ages. By understanding a patient's family history and lifestyle, the nurse can encourage patients to take action that supports their health and.
Though most ovarian cysts are benign, some are cancerous.
However, ovarian cancer is usually not diagnosed until after it has spread and is difficult to cure. Only 22% for other women. This is a common phenomenon in late postmenopausal women, which can trigger swelling of the ovaries along with the formation of ovarian cysts. A woman is said to have pcos, the syndrome, if she presents two out of three of the following symptoms: However, some research has found no relationship between the two. Women with pcos have a hormonal imbalance and metabolism problems that may affect their health. 1 irregular periods, or a lack of periods, can cause the endometrium to build up and become thick. It is commonly thought that ovarian cancer has few if any symptoms prior to reaching and advanced stage. Why women with this disease may have a higher exposure or higher infection rate is not known. If low levels of healthy bacteria can cause ovarian cancer, then it could rightly be inferred that bad vaginal hygiene habits may play a part in heightening the risk of ovarian cancer. Learn about the symptoms, treatment options, and outlook for ovarian cysts and ovarian cancer. For example, heavy menstrual bleeding could be caused by a range of conditions, such as uterine fibroids, polyps, bleeding disorders, certain medications, or pelvic inflammatory disease, in addition to pcos. Ovarian cancer is rare but, sadly, typically has a poor.
The best holiday card websites in 2021. Hier sollte eine beschreibung angezeigt werden, diese seite lässt dies jedoch nicht zu. Wallpaper news, reviews & resources. 04.11.2021 · the squid token inspired by popular netflix series "squid game" has grown by 600 percent in its trade value. It was released in public beta in september and adds new theming options, keyboard tweaks, and privacy settings. Iphone Wallpapers Page 2 Of 930 Wallpapers For Iphone 12 Iphone 11 And Iphone X Iphone Wa In 2021 Iphone Wallpaper Video Iphone Wallpaper Money Wallpaper Iphone from i.pinimg.com This app helps organize holiday potlucks. The best holiday card websites in 2021. The development comes just days after its value dropped by 99.99 percent and its. You can now buy amc theatre tickets using cryptocurrency. Hier sollte eine beschreibung angeze...
Copy And Paste Star Signs / Microsoft Dynamics NAV 2016 - Page Does not Show Paste ... / Apple's star previously resembled its ⭐ star. . All you have to do is to copy the symbol from somewhere like a web page, or the character map for windows users, and head over to where you need the symbol (say in word or excel), then hit ctrl+v to paste. Learn how to text signs with your keyboard, try cool font generator, copy paste text pictures to instagram and facebook. Awesome collection of beautiful star signs and symbols that you can copy and paste anywhere you want online or offline. Get all star symbols ★ ☆ ⚝ ☪ 🌟 💫 🔯 and alt code for star symbols. With this tool, you can adjust the size, color, italic, and bold of shooting star(symbol), then you can copy and paste it. With this tool, you can adjust the size, color, italic, and bold of black star(symbol), then you can copy and paste it. Now, just paste it anywhere if you like facebook, twitter, instagram or any websi...
How Much Do Council Chief Executives Get Paid - How Much Do Indian Unicorn Founders Earn? / How the council pays for and arranges your care. . This video explains it all and gives you a whirlwind tour of the payment. These three institutions calculate the amount of funding they need to operate and service the areas which they are responsible for. If the council is going to pay towards your care, you'll get a personal budget. Council tax is comprised of a number of charges for local council, local fire and local police services. Exactly how much your council will pay depends on what care you need and how much you can afford to pay. If you're interested in pursuing a board seat, here's what you need to know about what boards are looking for, how to get noticed and what they pay. Here is a list of the name and address for the chief executive of britain's largest consumer facing companies: How the council pays for and arranges your care. Council chief ...
Komentar
Posting Komentar